
也許吧,但這絕非易事。在西非和海地的伏都教中,殭屍是沒有靈魂的人類,他們的身體不過是被強大的巫師控制的空殼。在1968年的電影《活死人之夜》中,一群因輻射而復活的蹣跚而行、反應遲鈍、嗜食人肉的屍體襲擊了一群賓夕法尼亞州的鄉村居民。我們正在尋找介於海地和好萊塢之間的某些東西:一種傳染性病原體,或者說是一種殭屍病毒,它能讓受害者半死不活,但仍然活著,只是他們曾經的軀殼。
來看看我們拍攝的自然界中真實殭屍的圖集。
哈佛大學精神病學助理教授、著有《殭屍屍檢》一書的史蒂文·C·施洛茲曼表示,有效的致死劑會靶向並關閉大腦的特定區域。 《殭屍屍檢》是一系列虛構的摘錄,內容取材自「最後一位被派往聯合國庇護所研究ANSD(一種殭屍病毒)的科學家」的筆記。施洛茲曼向《大眾科學》解釋說,雖然行屍走肉保留了一些運動技能——當然包括行走,以及撕咬人肉所需的能力——但負責道德、計劃和抑制衝動行為(例如咬人)的前額葉已經不復存在。控制協調的小腦可能仍然存在,但功能並不完全。這也不難理解,因為電影中的殭屍通常很容易被甩開或用棒球棍擊倒。
施洛茲曼認為,導致這種部分腦部受損的最可能罪魁禍首竟然是一種蛋白質。具體來說,是一種蛋白質感染性顆粒,即朊病毒。朊病毒既不是病毒,也不是生物體,幾乎無法被徹底清除,而且目前尚無針對其所致疾病的有效療法。
第一例著名的朊病毒疫情於1950年代初在巴布亞紐幾內亞被發現。當時,人們發現弗雷族人患上了一種奇怪的顫抖症。有時,患病的弗雷族人會突然無法控制地大笑。部落稱這種疾病為「庫魯病」。到了60年代初,醫生們追溯到該疾病的源頭,發現它與該部落的食人葬禮習俗有關,其中包括食用腦組織。
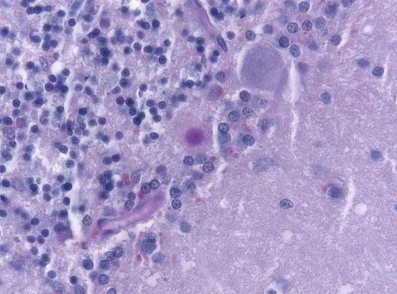
朊病毒在1990年代因引發牛海綿狀腦病(俗稱瘋牛症)而臭名昭著。當畸形朊病毒進入人體系統時(例如瘋牛症),我們的大腦就會像海綿一樣出現孔洞。感染朊病毒疾病患者的腦部掃描影像,其形態與頭部遭受霰彈槍射擊後留下的痕跡相似。
如果我們像一心想要毀滅世界的邪惡天才那樣思考,那麼訣竅在於將朊病毒附著在病毒上,因為朊病毒疾病在人群中比較容易控制。為了真正造成世界末日,我們需要一種傳播迅速且能將朊病毒帶到額葉和小腦的病毒。將感染精準地定位到這些區域將非常困難,但這對於創造出我們預期的那種步履蹣跚、智力低下的生物至關重要。
波士頓麻省總醫院移植傳染病科主任傑伊·菲什曼提議使用一種能引起腦炎(即腦膜發炎)的病毒。皰疹病毒和西尼羅河病毒都可以,但菲什曼補充說,將朊病毒附著在病毒上「不太可能」。此外,感染後,我們需要阻止朊病毒的侵襲,以免這些「殭屍」完全陷入昏迷,喪失所有意識。施洛茲曼建議添加碳酸氫鈉以誘導代謝性鹼中毒,這會提高身體的pH值,使朊病毒等蛋白質難以增殖。他說,鹼中毒後,“會出現癲癇發作、抽搐,看起來就像個可怕的殭屍。”
有什麼一直想了解的科學問題嗎?請寄郵件至[email protected]





